Header image
 

ANEURISMA CEREBRAL

Un aneurisma es un punto débil en la pared de una arteria cerebral que llega a dilatarse como un globo y puede romperse produciendo hemorragia intracraneal.  El aneurisma puede ejercer presión sobre un nervio o el tejido cerebral circundante. Cada episodio hemorrágico conlleva una elevada probabilidad de muerte o de secuelas neurológicas invalidantes.
El tratamiento de elección tradicional es la craneotomía (apertura del cráneo) y la colocación de un clip que cumpla los objetivos de cerrar  el cuello de entrada al saco del aneurisma, y al mismo tiempo conservar la luz o el calibre de la arteria que originaba al aneurisma.
Sin embargo, existe una proporción de pacientes en malas condiciones generales o neurológicas, así como también aneurismas que podrían ser de localización difícil para el cirujano (por ejemplo aneurismas de la circulación vértebrobasilar). En estos casos, una excelente alternativa son las técnicas de embolización endovascular. Esta consiste en la introducción de catéteres, que son tubos plásticos diminutos, de calibres decrecientes, desde la arteria femoral hasta las arterias cerebrales para colocarse dentro del mismo saco del aneurisma. Una vez allí, se procede a colocar espirales de platino de calibres adaptados al tamaño del saco aneurismático, hasta conseguir su obliteración. La ventaja de este tratamiento es su condición de minimamente invasiva, sin las desventajas de abrir el cráneo y exponer y manipular el tejido cerebral. Sus desventajas incluyen que en el mediano a largo plazo es posible la compactación de la madeja de espirales dentro del saco aneurismático, lo cual conduciría a recanalización y eventual re-crecimiento del aneurisma.

Preguntas frecuentes sobre Aneurismas

CASOS DE TRATAMIENTO POR EMBOLIZACION:

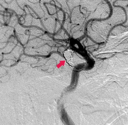
  CASO 1 : Embolización endovascular de aneurismas con microespiras (coils) en paciente anciano y de alto riesgo para cirugía abierta  
     
     
   
  Angiografía antes de la embolización  
     
   
  Angiografía después de laembolización la cual muestra cierre completo del aneurisma  
     
  CASO 2 : Embolización endovascular con microespiras (coils) en paciente joven con hemorragia intracraneal y parálisis de nervio oculomotor  
     
   
  Antes de la embolización:  
     
   
  Después de la embolización:  
     
  CASO 3 : Embolización endovascular con microespiras (coils) en paciente con hemorragia cerebral resultando en cefalea y trastorno de la conciencia  
     
   
  Antes de la embolización  
     
   
  Despuès de la embolización. Note cierre del aneurisma conservando las arteriias sanas. La paciente se recuperó completamente.  
 

 

 


El Dr. Plasencia recibiendo entrenamiento del Profesor Dr. Guido Guglielmi inventor de la embolización de los aneurismas cerebrales en la Universidad de California -USA

 

 
Contáctese
Email: andresplasencia2000@yahoo.com celular:(511) - 999172490