Inicio Filosofía Tratamientos Hoja de vida Publicaciones Preguntas Frecuentes Contáctese
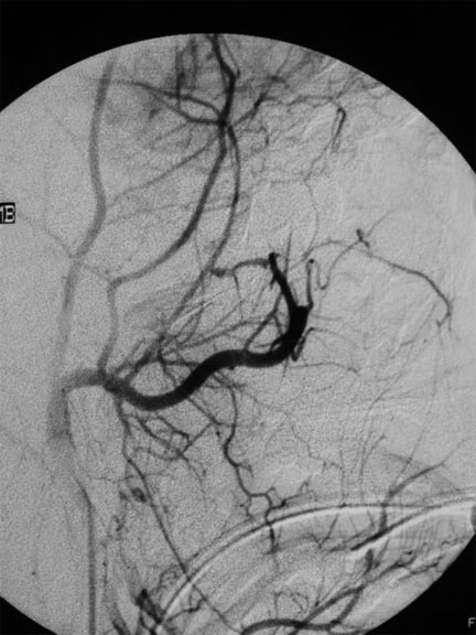
ANGIOFIBROMA NASOFARINGEO JUVENILEl angiofibroma nasofaríngeo juvenil es un tumor benigno y con gran tendencia a sangrar, localizado en la pared posterolateral de la cavidad nasal. Suelen afectar exclusivamente a varones adolescentes. Cuando son diagnosticados precozmente, pueden ser extirpados completamente con poco sangrado intraoperatorio. Sin embargo, en los tumores avanzados, de gran volumen, y para disminuir la probabilidad de un sangrado operatorio masivo, antes de la resección quirúrgica de esta lesión, debe interrumpirse su aporte sanguíneo mediante técnicas de embolización.
Debido a la naturaleza invasiva del angiofibroma, puede desarrollarse extensión tumoral hacia la cavidad craneal en estructuras críticas tales como el seno cavernoso. En estos casos, existe la posibilidad de administrar radiocirugía estereotáctica para conseguir la curación definitiva.
TRATAMIENTO POR EMBOLIZACION:
CASO 1 : Embolización del angiofibroma nasofaringeo juvenil Antes del tratamiento de embolización Despué del tratamiento de embolización
Contáctese
Email: andresplasencia2000@yahoo.com celular:(511) - 999172490