Header image
 
MALFORMACIONES ARTERIOVENOSAS CEREBRALES

Anatómicamente las malformaciones arteriovenosas cerebrales (MAV) son un conglomerado de vasos sanguíneos inmaduros y frágiles que pueden localizarse en cualquier sitio del cerebro causando de un lado tendencia a crisis convulsivas y déficit neurológico y de  otro lado propensión a producir hemorragia cerebral.
La mejor alternativa de tratamiento en muchos casos es la operación de craneotomía y microcirugía, sin embargo, esto es riesgoso para un grupo de pacientes con malformaciones situadas en zonas elocuentes del cerebro (regiones motora, del lenguaje, visual, memoria, cálculo, razonamiento, etc.) o regiones cerebrales muy profundas (ganglios basales, línea media, tronco cerebral).
Para este grupo de MAV existen otras alternativas de tratamiento, tales como la embolización endovascular y la radiocirugía estereotáctica.

Preguntas frecuentes sobre Malformaciones Arteriovenosas


CASOS DE TRATAMIENTO POR EMBOLIZACION DE MAV:

  CASO 1 : Embolización de MAV frontal izquierda que presentó hemorragia cerebral resultando en hemiparesia derecha y trastorno del lenguaje  
     
     
   
 
Angiografía antes del tratamiento por embolización. Se muestran por lo menos dos aneurismas en el interior del ovillo malformativo
 
     
     
  Durante el microcateterismo  
     
     
   
 
La MAV fué erradicada de inmediato en forma definitiva como lo demuestra la angiorafía realizada 3 años después de la embolización con histoacryl + lipiodol (C).El paciente reanudó sus estudios habituales.
 
     
  CASO 2 : Embolización combinada con Radiocirugía. Paciente con crisis convulsivas y trastorno del lenguaje. La angiografía demuestra voluminosa MAV localizada en plena área del lenguaje.  
 
 
     
   
  Angiografía antes de la embolización  
     
   
  Angiografía 7 años después de la embolización mostrando reducción importante y definitiva del volumen de la MAV, convirtiéndola en blanco óptimo para radiocirugía  
     
   
 
Al cabo de 18 meses de la radiocirugía la MAV está curada sin efectos adversos ni secuelas. El paciente continuó su trabajo e incluso estudios de post grado.
 
     
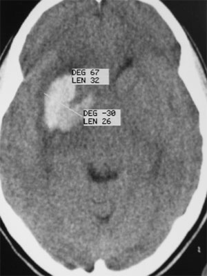
  CASO 3 : Embolización combinada con Radiocirugía en adolescente con hemorragia intracerebral resultando en hemiparesia  
 
 
   
  Tomografía que muestra la hemorragia en ganglios basales y cápsula interna derecha  
     
   
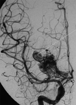
  La angiografía mostró que la MAV contenía un gran aneurisma, que al romperse originó la hamorragia.  
     
   
  Momento del microcateterismo superselectivo del aneurisma intranidal  
     
   
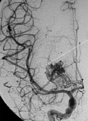
  El aneurisma fué erradicado con la embolización alejando el riesgo de resangrado inminente. Se indicó radiocirugía estereotáctica como tratamiento definitivo  
     
   
  Angiografía a 2 años después de radiocirugía que demuestra ausencia de la malformación arteriovenosa. La paciente se rehabilitó completamente y retomó su vida y estudios normalmente  
     
  CASO 4 : Radiocirugía como tratamiento único en malformación arteriovenosa de mediano volumen en paciente joven con crisis convulsivas  
 
 
     
   
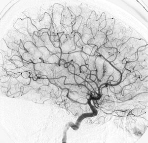
  IAngiografía al momento de la radiocirugía  
     
   
  Angiografía al año y medio después de la radiocirugía que muestra la curación de la paciente sin ningún efecto adverso ni secuelas.  

 

 

 

 

 

 


 

 
Contáctese
Email: andresplasencia2000@yahoo.com celular:(511) - 999172490