Header image
 
METÁSTASIS CEREBRALES

Las metástasis cerebrales constituyen una manifestación bastante avanzada de cánceres de otros órganos del cuerpo. Tumores malignos tales como de pulmón, mama, riñón, colon, de piel (melanoma), con frecuencia se propagan al cerebro por vía sanguínea y colonizan al cerebro, a menudo con varios focos y asientan en zonas críticas y/o profundas por lo que una excelente opción de tratamiento es la radiocirugía.
La radiocirugía tiene las ventajas de una resección quirúrgica radical sin la desventaja de las frecuentes complicaciones asociadas a las craneotomías.

PREGUNTAS FRECUENTES SOBRE METÁSTASIS CEREBRAL

TRATAMIENTO POR RADIOCIRUGÍA

  CASO 1 :TRATAMIENTO DE METÁSTASIS CEREBRAL POR RADIOCIRUGÍA  
  Metástasis Cerebral de cáncer de mama:  
 
Paciente con tumor primario ( CA de mama ) controlado. Hace 1 año metástasis tratadas con radiocirugía en el extranjero. Viene con recurrencia con 2 metástasis. La paciente tiene trastorno del lenguaje (afasia) y parálisis del lado derecho del cuerpo (hemipléjia)
 
     
 
 
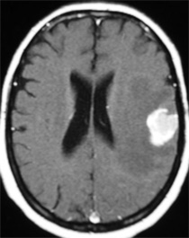
Resonancia magnética al momento de la intervención. Note el gran volumen tumoral y la compresión cerebral.
     
 
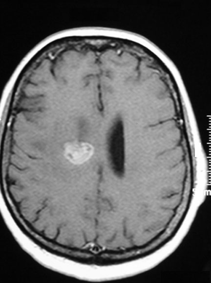
RNM de control a 3 meses. Observe la marcada reducción tumoral y desaparición del edema y del efecto de masa.
     
  A las pocas semanas de la reintervención. Paciente logra caminar y ser independiente revirtió el déficit neurológico con sobrevida funcional de 8 meses de excelente calidad de vida.
     
 
     
     
  CASO 2 :Tratamiento de Metástasis de Cáncer de Pulmon con Radiocirugía Estereotáxica  
 
 
   
 
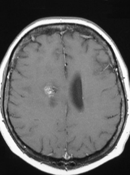
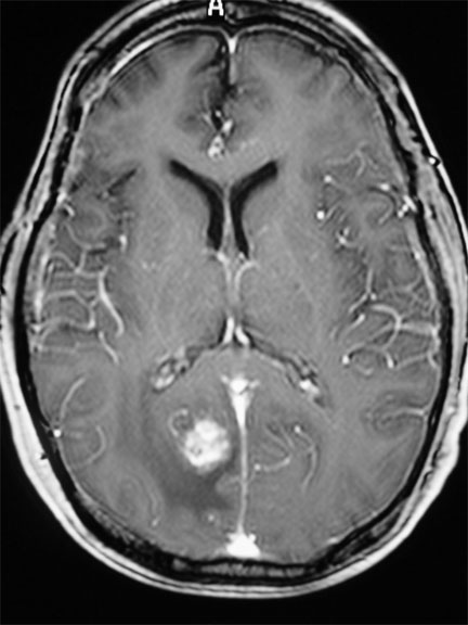
Joven profesional con cáncer de pulmón y metástasis recurrente después de tratamiento en el extranjero. La resonancia magnética muestra al tumor rodeado de edema cerebral. El paciente presenta cefalea, convulsiones y trastornos del campo visual
 
     
  Después:  
   
  Control a 3 años post radiocirugía: En lugar del tumor se observa una mínima cicatriz. Los síntomas desaparecieron y el paciente retomó su vida profesional habitual  
     
   
     
  Antes de la embolización:  
   
     
     
 

 

 


 

 
Contáctese
Email: andresplasencia2000@yahoo.com celular:(511) - 999172490