Header image
 
TUMORES DE BASE DE CRÁNEO

Meningiomas, neurinoma del acústico:
Después de los astrocitomas, los meningiomas y los neurinomas son los tumores intracraneales más frecuentes. Aunque afortunadamente son de naturaleza benigna, su situación intracraneal y su diagnóstico a menudo en fase avanzada los convierten algunas veces en lesiones de riesgo para una cirugía abierta y resección.

En el caso de elegir el tratamiento con cirugía abierta, la intervención de embolización previa a la cirugía consigue disminuír la hemorragia intraoperatoria y por ende la cirugía suele ser mas rápida y completa, evitando de este modo las complicaciones y las recaídas ( Ver figura ))

Cuando la cirugía abierta es considerada riesgosa, l a radiocirugía estereotáctica constituye una excelente alternativa en estos casos, ya que es una operación no invasiva, sin abrir el cráneo, con el paciente despierto, y con radiación de alta energía, guiada por laser. La radiocirugía logra el control tumoral a 5 años en alrededor del 80% de los pacientes, con una tasa de complicaciones permanentes igual o menor al 3% aproximadamente.

Preguntas frecuentes sobre tumores benignos de la base de craneo: Meningiomas y Neurinoma del acústico

 

. TRATAMIENTO POR RADIOCIRUGÍA:

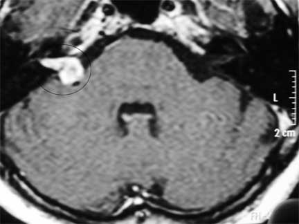
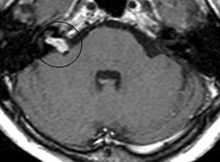
  NEURINOMA DEL ACÚSTICO EN PACIENTE DE EDAD AVANZADA CON PÉRDIDA AUDITIVA Y TRASTORNO DEL EQUILIBRIO. EN VISTA DEL ALTO RIESGO PARA CIRUGÍA ABIERTA. SE INDICA RADIOCIRUGÍA  
     
     
   
  Neurinoma del nervio acústico. El neurinoma está inscrito en un círculo.  
     
   
  18 meses después del tratamiento del neurinoma del acústico  
     
   
 
Tres años después del tratamiento del neurinoma del acústico. Note reducción progresiva del tumor. Paciente con significativa mejoría clínica y neurológica
 
     
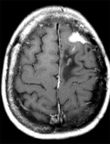
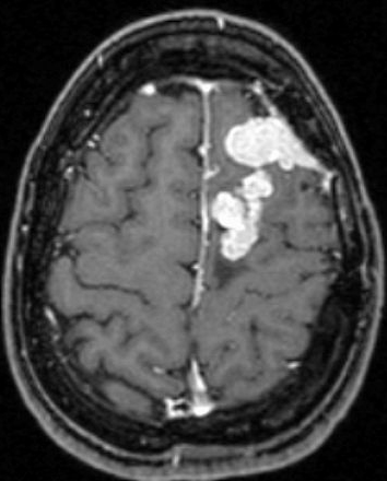
  Tratamiento de Meningioma con Radiocirugía Estereotáxica. Paciente había sido operada a craéneo abierto en dos ocasiones, y viene por recurrencia del tumor  
     
   
  Resonancia magnética al momento de la radiocirugía  
     
   
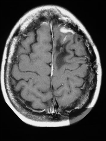
  Resonancia magnética un año después de la radiocirugía. Note disminución del volumen tumoral  
     
   
 
Resonancia magnética dos años después de la radiocirugía. Observe marcada y progresiva reducción del meningioma
 
     
     
 

 

 


 

 
Contáctese
Email: andresplasencia2000@yahoo.com celular:(511) - 999172490